トピックス@喘息


  喘息患者さんの痰には、好酸球がたくさん認められます。これは喘息が好酸球という

炎症細胞を主体とした気道の慢性炎症だからです。喀痰中の好酸球の検査は喘息の診断に
有用です。また、好酸球はアトピー咳の患者さんの痰や花粉症の患者さんの鼻汁にもよく
現れます。以上、院内で実施しています。

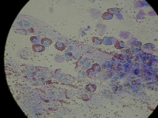
                  喀痰検査






   喘息患者の喀痰               気管支炎

赤く染まった好酸球が多数認められる     好酸球は認められず好中球主体                        










トピックスA巻き爪及びひょうそ


  巻き爪の矯正を行っています。

                     巻き爪



      マチワイヤーで矯正          矯正後




 
     ひょうそに対しガター法を追加